Table of Contents
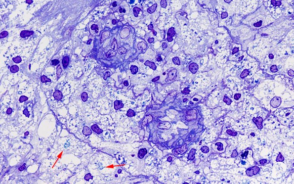
Washington University Experience | MYELIN (IMMUNE-MEDIATED) | Inflammatory Demyelination | 15J3 Inflamm Demyel (Case 15) Plastic 100X 1 copy
These macrophages have accumulated in the Virchow-Robin spaces and contain fragments of engulfed myelin (arrows). (One micron thick toluidine blue stained plastic section)
