Table of Contents



Washington University Experience | MYELIN (IMMUNE-MEDIATED) | Inflammatory Demyelination | 15K3 Case 15 EM 027A2 - Copy

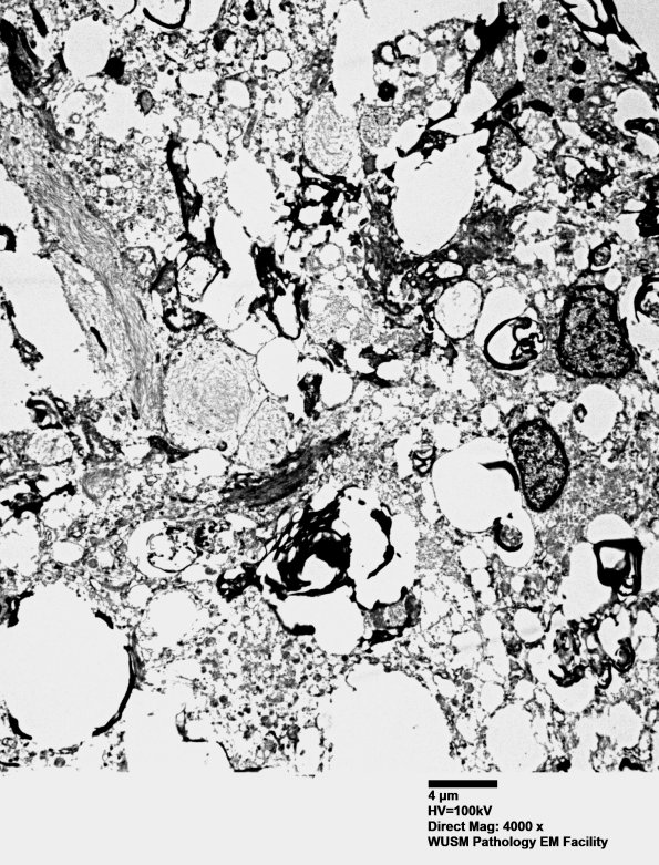
15K3 Case 15 EM 027A2 - Copy
In some areas there is residual myelin debris. (electron micrograph)


Gallery RSS RSS Feed | Archive View | Login | Powered by Zenphoto