Table of Contents



Washington University Experience | MYELIN (IMMUNE-MEDIATED) | Inflammatory Demyelination | 15K4 Case 15 EM 024A - Copy

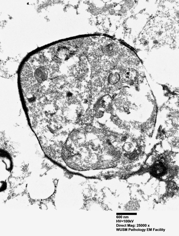
15K4 Case 15 EM 024A - Copy
15K4,5 Dilated axons containing axonal cytosomes. (electron micrographs)


Gallery RSS RSS Feed | Archive View | Login | Powered by Zenphoto