Table of Contents
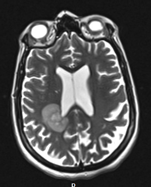
Washington University Experience | MYELIN (IMMUNE-MEDIATED) | Inflammatory Demyelination | 16A3 Inflammatory Demyelination (Case 16) T2W - Copy
The lesion is present and somewhat irregular on this T2-weighted with contrast administration.
