Table of Contents
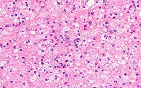
Washington University Experience | MYELIN (IMMUNE-MEDIATED) | Inflammatory Demyelination | 16B4 Inflammatory Demyelination (Case 16) H&E 40X
Progressively increasing magnification shows abundant foamy macrophages, perivascular lymphocytes and scattered plasma cells infiltrating the brain parenchyma
