Table of Contents
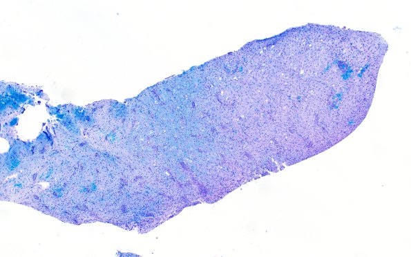
Washington University Experience | MYELIN (IMMUNE-MEDIATED) | Inflammatory Demyelination | 16C1 Inflammatory Demyelination (Case 16) LFB-PAS 4X 1
16C1-4 Luxol fast blue-PAS stain shows significant loss of myelin and phagocytosed myelin debris in macrophages. Myelin which is initially blue-green when phagocytosed becomes pink with metabolism. Perivascular macrophages collecting around venules typically contain metabolized myelin in anticipation of leaving the brain. (LFB-PAS)
