Table of Contents
Washington University Experience | MYELIN (IMMUNE-MEDIATED) | Inflammatory Demyelination | 16C2 Inflammatory Demyelination (Case 16) LFB-PAS 10X 1
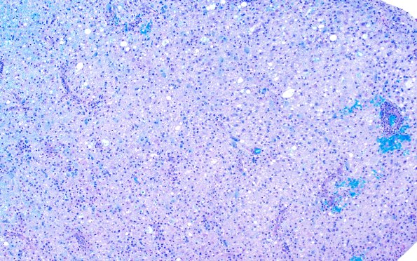
Luxol fast blue-PAS stain shows significant loss of myelin and phagocytosed myelin debris in macrophages.
