Table of Contents
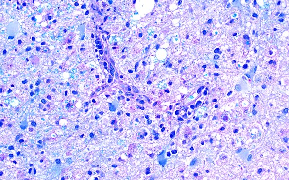
Washington University Experience | MYELIN (IMMUNE-MEDIATED) | Inflammatory Demyelination | 16C4 Inflammatory Demyelination (Case 16) LFB-PAS 40X 1
Luxol fast blue-PAS stain shows significant loss of myelin and phagocytosed myelin debris in macrophages.
