Table of Contents
« prev
next »
Washington University Experience
|
MYELIN (IMMUNE-MEDIATED)
|
Inflammatory Demyelination
|
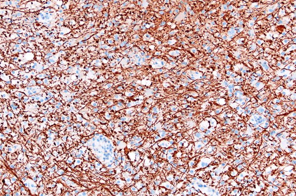
16D3 Inflammatory Demyelination (Case 16) NF 20X 1
Higher magnification of preserved axons. (NF IHC)
Image Info
Camera Maker:
Olympus
Camera Model:
DP74 #1
Shutter Speed:
9/7438 sec
Metering Mode:
Average
Gallery RSS
|
Archive View
|
Login
|
Powered by
Zenphoto