Table of Contents
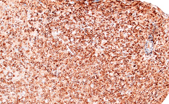
Washington University Experience | MYELIN (IMMUNE-MEDIATED) | Inflammatory Demyelination | 16E2 Inflammatory Demyelination (Case 16) CD163 10X 1A
CD163 demonstrates abundant and infiltrating macrophages/microglia in the demyelinated areas. (CD163 IHC)
