Table of Contents
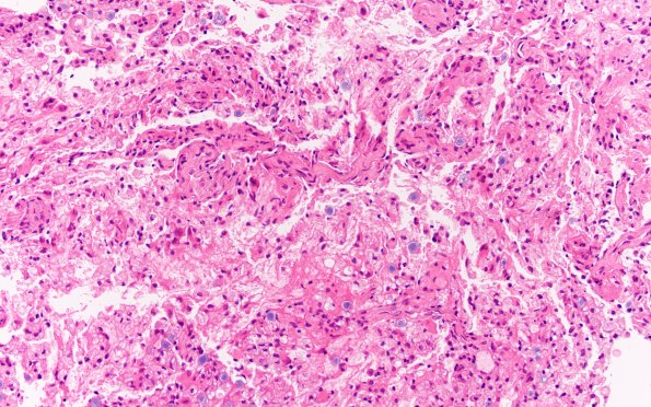
Washington University Experience | MYELIN (IMMUNE-MEDIATED) | Inflammatory Demyelination | 17B2 Demyelination, inflammatory (Case 17) H&E 20X
This spinal cord biopsy shows pallor and hypercellularity which appears dominated by foamy macrophages. (H&E)
