Table of Contents
« prev
next »
Washington University Experience
|
MYELIN (IMMUNE-MEDIATED)
|
Inflammatory Demyelination
|
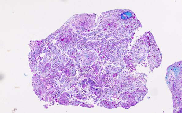
17C1 Demyelination, inflammatory (Case 17) LFB-PAS 10X 1
17C1,2 LFB-PAS shows total breakdown of normal myelin architecture. (LFB-PAS)
Image Info
Camera Maker:
Olympus
Camera Model:
DP74
Shutter Speed:
14/27451 sec
Metering Mode:
Multi-Spot
Gallery RSS
|
Archive View
|
Login
|
Powered by
Zenphoto