Table of Contents
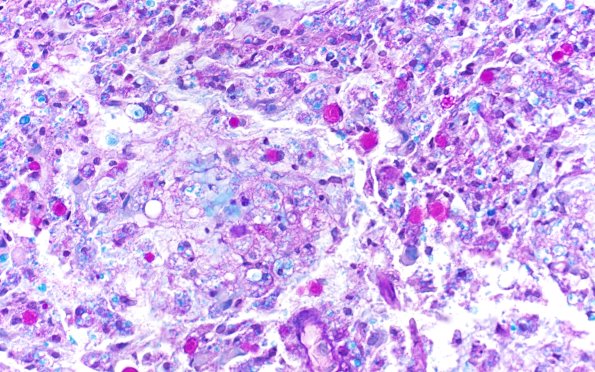
Washington University Experience | MYELIN (IMMUNE-MEDIATED) | Inflammatory Demyelination | 17C3 Demyelination, inflammatory (Case 17) LFB-PAS 40X 1
Small globules and fragments of bright blue myelin debris are present within phagosomes inside macrophages. (LFB-PAS)
