Table of Contents
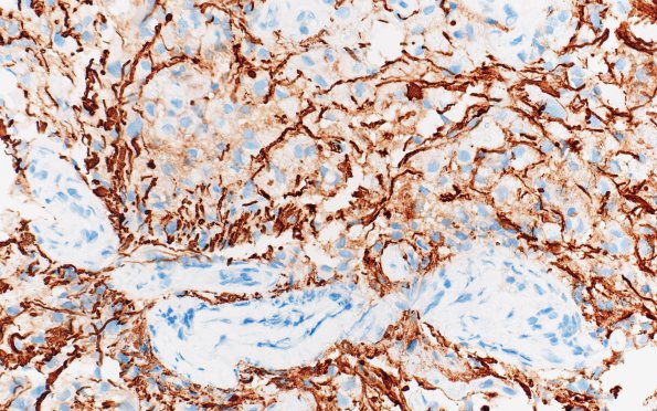
Washington University Experience | MYELIN (IMMUNE-MEDIATED) | Inflammatory Demyelination | 17D3 Demyelination, inflammatory (Case 17) NF 40X 1
Neurofilament immunoreactivity shows mild axon loss and injury (in the form of axonal spheroids) but with relative sparing of axons in comparison to the extent of myelin loss. (NF IHC)
