Table of Contents
« prev
next »
Washington University Experience
|
MYELIN (IMMUNE-MEDIATED)
|
Inflammatory Demyelination
|
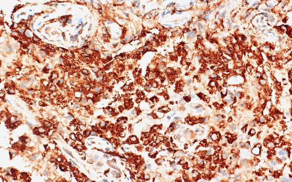
17G2 Demyelination, inflammatory (Case 17) CD68 40X 1
CD68 immunoreactivity highlights abundant macrophages. (CD68 IHC)
Image Info
Camera Maker:
Olympus
Camera Model:
DP74
Shutter Speed:
7/1000 sec
Metering Mode:
Multi-Spot
Gallery RSS
|
Archive View
|
Login
|
Powered by
Zenphoto