Table of Contents
« prev
next »
Washington University Experience
|
MYELIN (IMMUNE-MEDIATED)
|
Inflammatory Demyelination
|
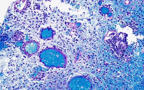
7B2 Inflammatory Demyelination (Case 7) LFB-PAS 2
Higher magnification image of the perivascular loss of myelin (LFB-PAS)
Image Info
Camera Maker:
Olympus
Camera Model:
DP74 #1
Shutter Speed:
7/4142 sec
Metering Mode:
Multi-Spot
Gallery RSS
|
Archive View
|
Login
|
Powered by
Zenphoto