Table of Contents
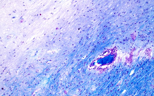
Washington University Experience | MYELIN (IMMUNE-MEDIATED) | MS - Optic Nerves | 10B2 Optic nerve-tract (Case 10) LFB-PAS 20X
Higher magnification of the area of the optic nerve/chiasm shown between arrowheads in 10B1. A few inflammatory cells are seen at the border of the demyelinated and myelinated focus (LFB-PAS)
