Table of Contents
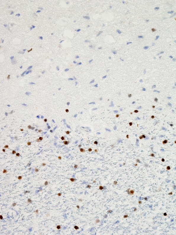
Washington University Experience | MYELIN (IMMUNE-MEDIATED) | MS - Optic Nerves | 9F2 MS (Case 9) brainstem-basal ganglia Olig 2 3
Higher magnification of the border between demyelinated and myelinated areas showing loss of olig2 stained cells (Olig2 IHC)
