Table of Contents
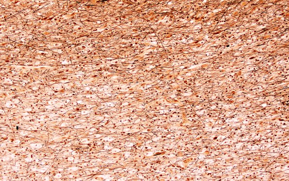
Washington University Experience | MYELIN (IMMUNE-MEDIATED) | MS - Primary Progressive (PPMS) | 1D6 MS, Primary Progressive (PPMS) (Case 1) LFB-PAS N12 10X demyel area 3
This image demonstrates numerous preserved axons in the same region as #1D5 (Bielschowsky)
