Table of Contents
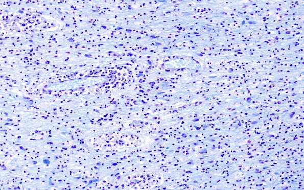
Washington University Experience | MYELIN (IMMUNE-MEDIATED) | MS - Primary Progressive (PPMS) | 1D7 MS, Primary Progressive (PPMS) (Case 1) LFB-PAS N12 40X demyel area 4
1D7-9 Higher magnifications of axon and myelin stained areas demonstrates myelin pallor and, although somewhat diminished, frequent axons with a few axonal spheroids. ---- Higher magnification of myelinopenic region (LFB-PAS)
