Table of Contents
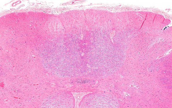
Washington University Experience | MYELIN (IMMUNE-MEDIATED) | MS - Spinal Cord | 1C1 Multiple Sclerosis, 50 yr Hx (Case 1) N17 Spinal cord H&E 4X
1C1-3 The dorsal column of one section shown in the previous whole mount series is shown at higher magnification (4X) stained for H&E (1C1), LFB-PAS (1C2) and Bielschowsky (1C3). ---- The dorsal columns are quite pale with significant atrophy and increased numbers of corpora amylacea. Notice the absence of inflammatory infiltrate (H&E).
