Table of Contents
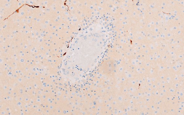
Washington University Experience | MYELIN (IMMUNE-MEDIATED) | NMO (Neuromyelitis Optica) | NMO Spectrum Disorder | 1D9 NMO (Case 1) N16 GFAP 20X 3
Within the demyelinated area only scattered GFAP immunoreactive processes are present and the microvasculature is often devoid of astrocytic endfeet. (GFAP IHC)
