Table of Contents
Washington University Experience | MYELIN (IMMUNE-MEDIATED) | NMO (Neuromyelitis Optica) | NMO Spectrum Disorder | 1L10 NMO (Case 1) N7 NF 2 copy
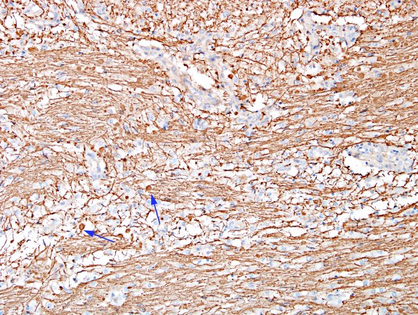
Even areas with substantial myelin loss show well preserved axons, although there are scattered axonal spheroids (NF IHC)
