Table of Contents
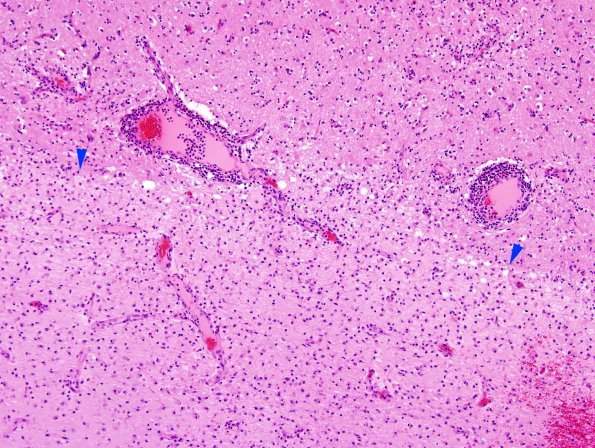
Washington University Experience | MYELIN (IMMUNE-MEDIATED) | NMO (Neuromyelitis Optica) | NMO Spectrum Disorder | 2D1 NMO (Case 2) H&E 10X edge copy
2D1-3 Margin (arrowheads, 2D1) of area of demyelination and necrosis in basal ganglia, seen at several magnifications (H&E)
