Table of Contents
Washington University Experience | MYELIN (IMMUNE-MEDIATED) | NMO (Neuromyelitis Optica) | NMO Spectrum Disorder | 5B3 NMOSD (AANP #7 2009) H&E 2 best copy
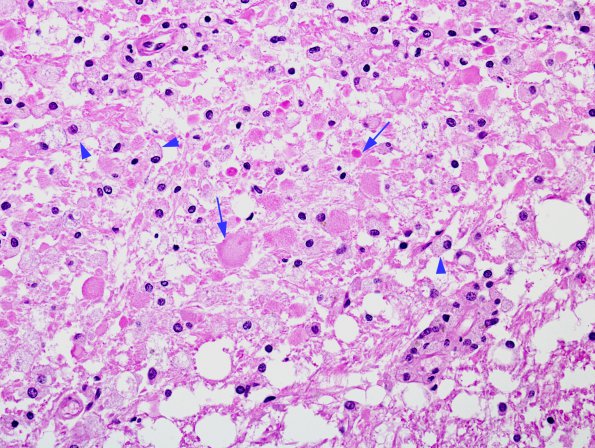
5B2,3 Higher magnification of the histologic appearance of the lesion is represented by a confluent collection of macrophages, reactive astrocytes and axonal spheroids. Spheroids are labeled with arrows and macrophages with arrowheads (H&E)
