Table of Contents
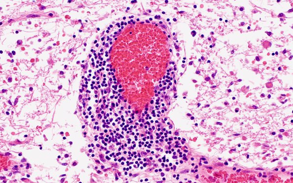
Washington University Experience | MYELIN (IMMUNE-MEDIATED) | Sentinel & Steroid Rx Lesions | 1G4 Sentinel Lesion (Case 1 - Autopsy) N15 40X demyelination not tumor 2
Mature perivascular lymphocytes within pale, gliotic white matter (H&E)
