Table of Contents
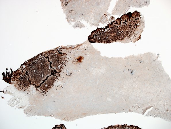
Washington University Experience | MYELIN (IMMUNE-MEDIATED) | Sentinel & Steroid Rx Lesions | 2N1 Sentinel Lesion (Case 2 - 2nd Bx) CD20 5
2N1,2 These images demonstrate aggregates of B-cells separated by areas completely lacking neoplastic B cells (CD20 IHC)
