Table of Contents
« prev
next »
Washington University Experience
|
MYELIN (IMMUNE-MEDIATED)
|
Sentinel & Steroid Rx Lesions
|
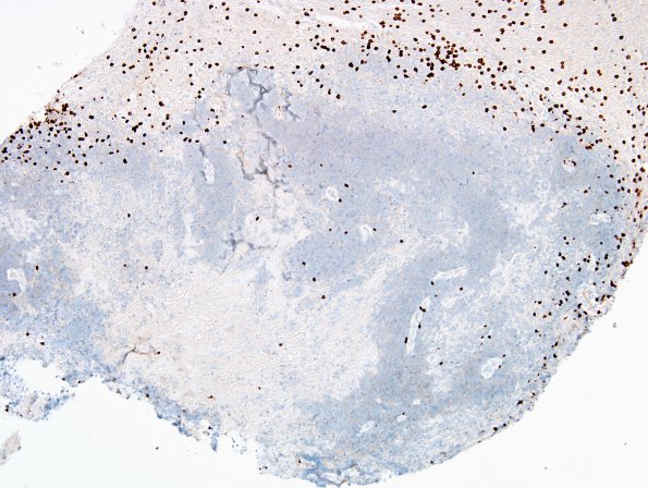
2R2 Sentinel Lesion (Case 2 - 2nd Bx) CD3 7
Non-neoplastic T-cells encircle collections of neoplastic B cells (CD3 IHC)
Image Info
Camera Maker:
Olympus Corporation
Camera Model:
DP70
Original Time Taken:
16-11-2016
Shutter Speed:
1/650 sec
ISO Sensitivity:
200
Metering Mode:
Spot
Gallery RSS
|
Archive View
|
Login
|
Powered by
Zenphoto