Table of Contents
Washington University Experience | MYELIN (NON-IMMUNE MEDIATED) | Alexander Disease | 3C3 Alexander Dz (Case 3) N3 H&E 2
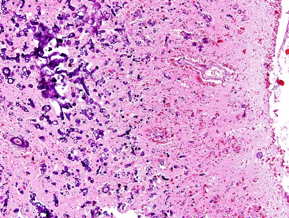
Some areas, such as this portion of the hippocampus, show focal calcifications with admixed Rosenthal material (H&E).
