Table of Contents
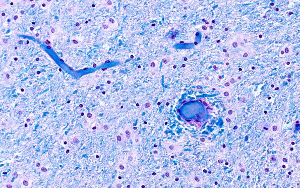
Washington University Experience | MYELIN (NON-IMMUNE MEDIATED) | Alexander Disease | 4C6 CGHA (Case 4) LFB-PAS 2
This perivascular collection stained for “myelin” shows Rosenthal fiber staining represent much of the apparent residual stain in the absence of myelin preservation.
