Table of Contents
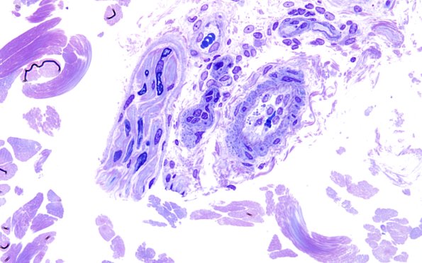
Washington University Experience | MYELIN (NON-IMMUNE MEDIATED) | CADASIL | 11B1 CADASIL (Case 11) D block 60X 2
This is a small arteriole in the abdominal skin biopsy which is seen at higher magnification in image #11B2. (Toluidine blue stained 1 micron thick plastic section)
