Table of Contents
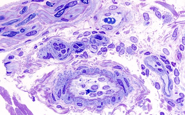
Washington University Experience | MYELIN (NON-IMMUNE MEDIATED) | CADASIL | 11B2 CADASIL (Case 11) D block 100X 5
Higher magnification image of the arteriole and a second light microscopically unclassified small vessel. There are numerous densities in the smooth muscle layer of the arteriole, but not all densities are the diagnostic granular osmiophilic material (GOM) deposits and must be resolved by ultrastructure. (Toluidine blue stained 1 micron thick plastic section)
