Table of Contents
Washington University Experience | MYELIN (NON-IMMUNE MEDIATED) | CADASIL | 11B3 CADASIL (Case 11) 40X 2
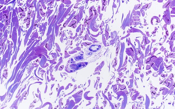
One small peripheral nerve fascicle in this skin biopsy is accompanied by several small vessels. These small arteriolar vessels do not exhibit an internal elastic lamina but do have multiple layers of smooth muscle and, subsequently illustrated, have GOMs. (Toluidine blue stained 1 micron thick plastic section) (Toluidine blue stained 1 micron thick plastic section)
