Table of Contents
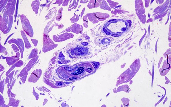
Washington University Experience | MYELIN (NON-IMMUNE MEDIATED) | CADASIL | 11B4 CADASIL (Case 11) 100X 1
Higher magnification of the small vessels shown in image #11B3 which have demonstrable GOMs in ultrastructural examination. (Toluidine blue stained 1 micron thick plastic section)
