Table of Contents
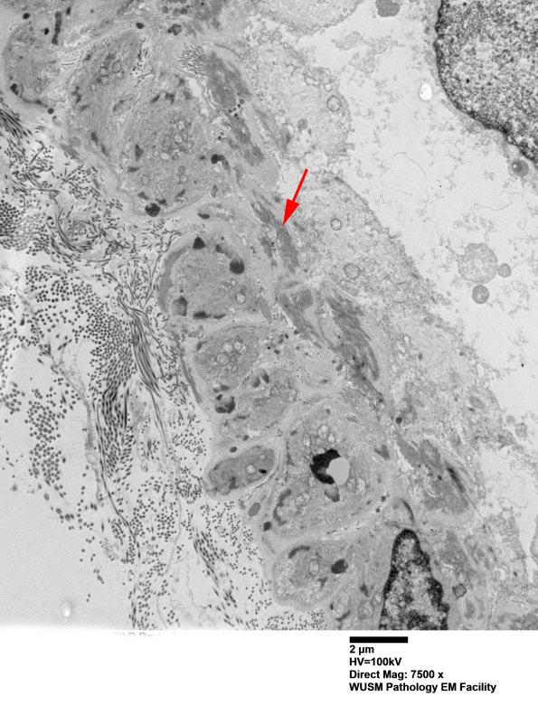
Washington University Experience | MYELIN (NON-IMMUNE MEDIATED) | CADASIL | 11C1A (Case 11) BlkD skin EM 004 - Copy copy
The following ultrastructural examination presents individual small arteriolar size vessels in groups11C1A-C, 11C2A-E, etc., based on several magnifications focusing on GOMs of individual vessels. ---- 11C1A-C A portion of the wall of the large vessel shown in image #11B1,2. ---- 11C1A There is a portion of the muscle wall and internal elastic lamina (arrow). (electron micrograph)
