Table of Contents
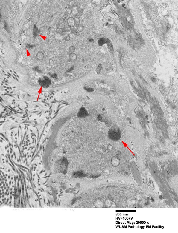
Washington University Experience | MYELIN (NON-IMMUNE MEDIATED) | CADASIL | 11C1B (Case 11) BlkD skin EM 002 - Copy copy
11C1B The vascular smooth muscle contains small normal intracellular filamentous dense bodies (arrowheads) and GOMs (arrow) which are granular and extracellular. Dense bodies are osmiophilic structures in the cytoplasm of smooth muscle cells which are made up of the actin-binding protein α-actinin. (electron micrograph)
