Table of Contents



Washington University Experience | MYELIN (NON-IMMUNE MEDIATED) | CADASIL | 11C1C (Case 11) BlkD skin EM 003 - Copy

11C1C (Case 11) BlkD skin EM 003 - Copy
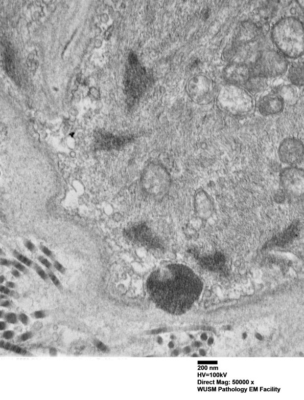
11C1C Higher magnification of two of the dense bodies and a single GOM. (electron micrograph)


Gallery RSS RSS Feed | Archive View | Login | Powered by Zenphoto