Table of Contents
Washington University Experience | MYELIN (NON-IMMUNE MEDIATED) | CADASIL | 11C2A (Case 11) BlkD skin EM 009 - Copy
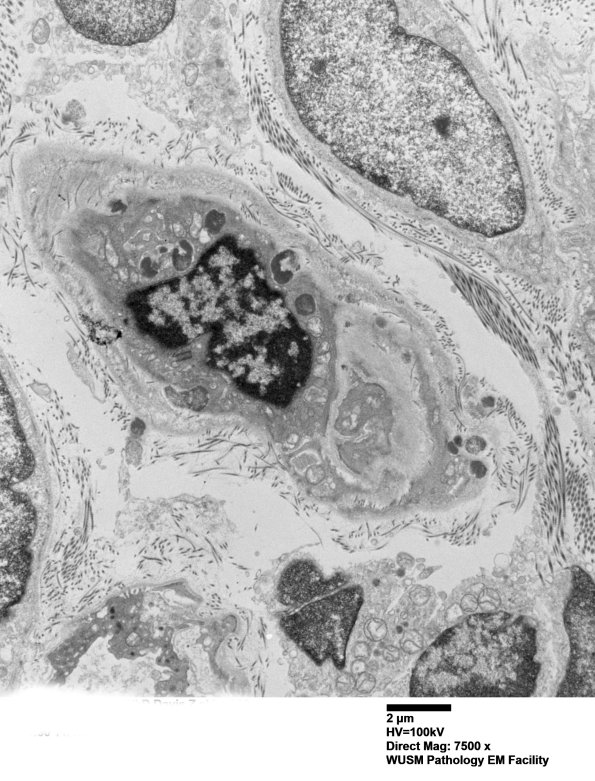
11C2A A low magnification image of a small vessel with a thin smooth muscle partial layer. (electron micrograph)
