Table of Contents



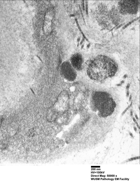
Washington University Experience | MYELIN (NON-IMMUNE MEDIATED) | CADASIL | 11C2B (Case 11) BlkD skin EM 011 - Copy (2)

11C2B (Case 11) BlkD skin EM 011 - Copy (2)
11C2B Higher magnification of GOMs. (electron micrograph)


Gallery RSS RSS Feed | Archive View | Login | Powered by Zenphoto