Table of Contents
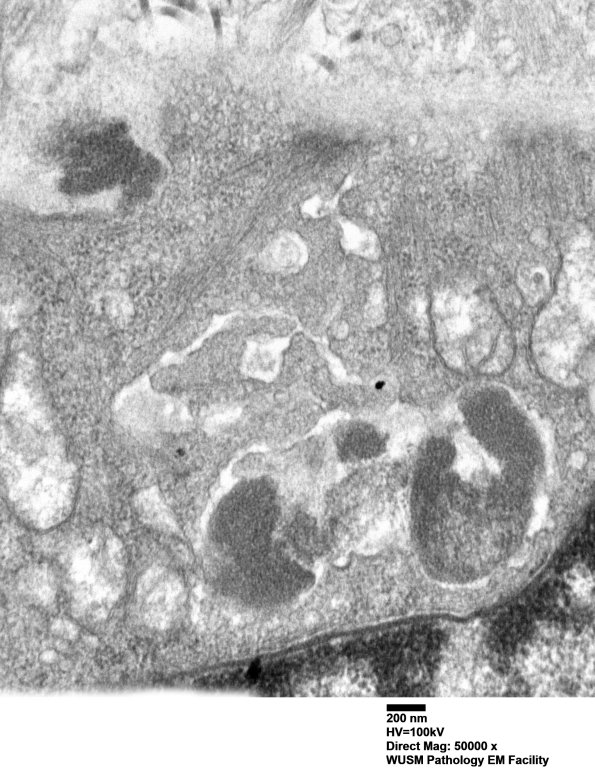
Washington University Experience | MYELIN (NON-IMMUNE MEDIATED) | CADASIL | 11C2D (Case 11) BlkD skin EM 015 - Copy
11C2D Although it appears that these GOMs are intracellular, they are actually extracellular and invaginated. (electron micrograph)
