Table of Contents
Washington University Experience | MYELIN (NON-IMMUNE MEDIATED) | CADASIL | 11C2E (Case 11) BlkD skin EM 016 - Copy
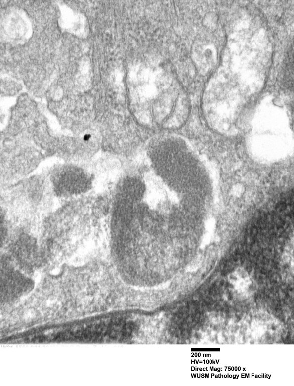
11C2E Although it appears that these GOMs are intracellular, they are actually extracellular and invaginated. (electron micrograph)
