Table of Contents



Washington University Experience | MYELIN (NON-IMMUNE MEDIATED) | CADASIL | 11C3A (Case 11) BlkD skin EM 020 - Copy

11C3A (Case 11) BlkD skin EM 020 - Copy
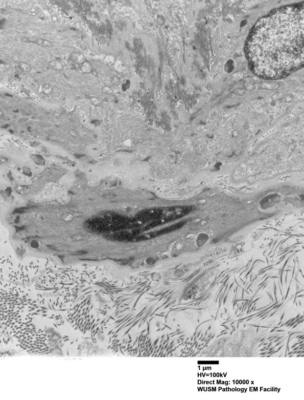
11C3A This smooth muscle cell is on the outer aspect of the arteriole. (electron micrograph)


Gallery RSS RSS Feed | Archive View | Login | Powered by Zenphoto