Table of Contents
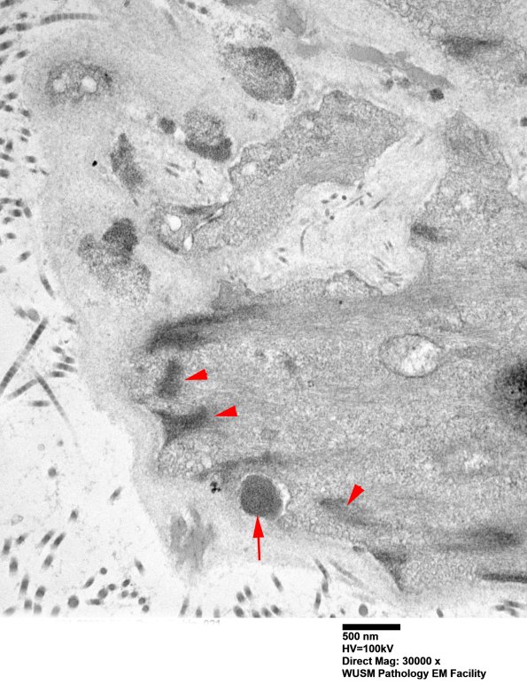
Washington University Experience | MYELIN (NON-IMMUNE MEDIATED) | CADASIL | 11C3B (Case 11) BlkD skin EM 021 - Copy copy
11C3B Higher magnification of image #11C3A showing smooth muscle dense bodies (arrowheads) and granular osmiophilic material (arrow). (electron micrograph)
