Table of Contents



Washington University Experience | MYELIN (NON-IMMUNE MEDIATED) | CADASIL | 11C3D (Case 11) BlkD skin EM 023 - Copy

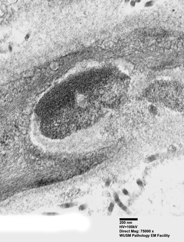
11C3D (Case 11) BlkD skin EM 023 - Copy
11C3D A large GOM. (electron micrographs


Gallery RSS RSS Feed | Archive View | Login | Powered by Zenphoto