Table of Contents
Washington University Experience | MYELIN (NON-IMMUNE MEDIATED) | CADASIL | 11C4A (Case 11) BlkD skin EM 001A - Copy
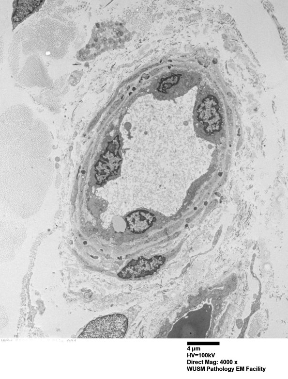
11C4A A small vessel with two muscle layers and multiple GOMs as seen at higher magnification in the subsequent images. (electron micrograph)
