Table of Contents



Washington University Experience | MYELIN (NON-IMMUNE MEDIATED) | CADASIL | 11C4B (Case 11) BlkD skin EM 002 - Copy

11C4B (Case 11) BlkD skin EM 002 - Copy
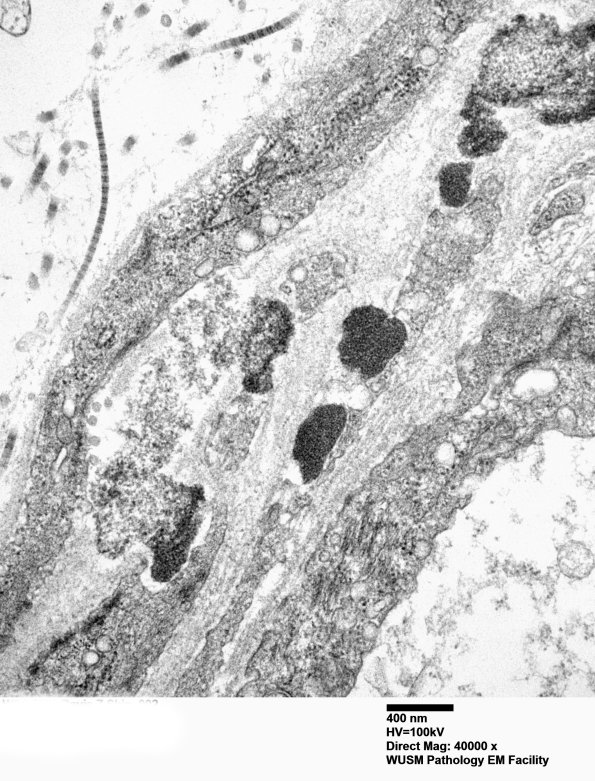
11C4B Higher magnification of GOMs. (electron micrograph)


Gallery RSS RSS Feed | Archive View | Login | Powered by Zenphoto