Table of Contents
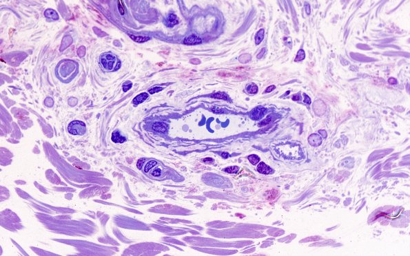
Washington University Experience | MYELIN (NON-IMMUNE MEDIATED) | CADASIL | 11D3 CADASIL (Case 11) E block 100X 5
11D3,4 Two magnifications of a small vessel with several layers of atrophic smooth muscle. (Toluidine blue stained 1 micron thick plastic sections)
