Table of Contents
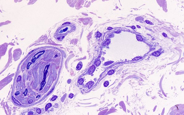
Washington University Experience | MYELIN (NON-IMMUNE MEDIATED) | CADASIL | 11D4 CADASIL (Case 11) E block 100X 1
11D4 A higher magnification of a small vessel with several layers of atrophic smooth muscle. (Toluidine blue stained 1 micron thick plastic sections)
