Table of Contents
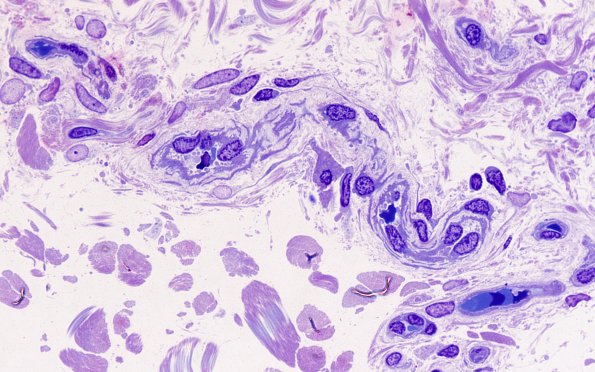
Washington University Experience | MYELIN (NON-IMMUNE MEDIATED) | CADASIL | 11D5 CADASIL (Case 11) E block 100X 4
Thin vessels with displaced atrophic smooth muscle elements. (Toluidine blue stained 1 micron thick plastic sections)
