Table of Contents



Washington University Experience | MYELIN (NON-IMMUNE MEDIATED) | CADASIL | 11E1A (Case 11) BlkD skin EM 002 - Copy

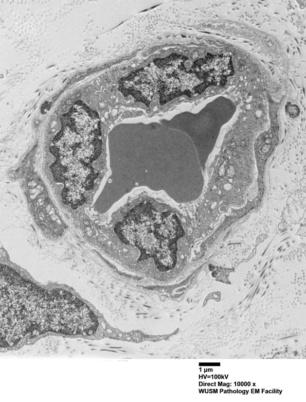
11E1A (Case 11) BlkD skin EM 002 - Copy
11E1A-C GOMs are often present in small numbers In such tiny vessels. (electron micrographs)


Gallery RSS RSS Feed | Archive View | Login | Powered by Zenphoto